審美歯科とは
   歯を白くするには?
 
  ホワイトニング
 
  PMTC
   白い詰め物・かぶせ物
 
  セラミックインレー
 
 

セラミッククラウン

 
 

メタルボンド

   歯並びを綺麗にする
 
  ラミネートベニア
 
 

矯正歯科治療

   黒ずんだ歯ぐきを健康な色に戻したい
  医療費控除について
   監修医院の紹介
  リンク集
   サイトマップ

  TOP

 
 
兵庫県の澤村歯科 審美歯科
 
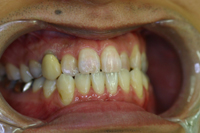
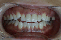
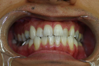
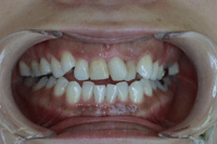
ラミネートベニア法
 
 
 
 

ラミネートベニアは、歯の表面を 0.5ミリくらい削りその上に薄いセラミックを、付け爪のように張り付けてしまう方法です。適応症としては、歯が黒ずんでいたり、前歯にすき間が空いている場合です。このような場合にはホワイトニングでは、効果が期待できません。また、同時に歯の形も美しく変えられます。2,3回の通院で仕上がります。

 
     
 
ラミネートベニア法の適応症
 
 

・短期間で軽度の歯並びの修正
・変色歯の改善
・歯の一部が欠けたり摩り減って形が見苦しい部分の回復
・歯の隙間(すきっ歯)の改善
・本来の歯より小さい歯(矮小歯)の改善
・傾いた歯や捻じれた歯の修正
・歯の表面の凸凹や詰め物があり歯の表面が均一でないものの改善
・治療回数も少なく(通常 2回)、歯を最小限しか削らない。

 
     
 
ラミネートベニアの治療紹介
 
 
 
 
     
 
 
 
 
     
Copyright 2006 Sawamura Dental Clinic. All rights reserved.