審美歯科とは
   歯を白くするには?
 
  ホワイトニング
 
  PMTC
   白い詰め物・かぶせ物
 
  セラミックインレー
 
 

セラミッククラウン

 
 

メタルボンド

   歯並びを綺麗にする
 
  ラミネートベニア
 
 

矯正歯科治療

   黒ずんだ歯ぐきを健康な色に戻したい
  医療費控除について
   監修医院の紹介
  リンク集
   サイトマップ

  TOP

 
 
兵庫県の澤村歯科 審美歯科
 
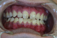
歯ぐきのホワイトニング
 
 
 
 

黒ずんだ歯茎を健康的な色に戻すメラニン色素除去の治療です。
特殊な薬剤を使用してタバコなどで黒ずんだ歯ぐきを元のピンク色の歯ぐきに戻します。
歯茎の色が悪くなる原因としては、歯の治療に使われている金属による金属アレルギーでメラニン細胞が増えて悪くなる場合や、さし歯が合わず炎症を起こしていたり、歯周病による血行障害などが考えられます。それらの原因を取り除いても歯ぐきの色が変わらない場合は、レーザーでメラニン細胞だけを取り除きます。

 
 
期間
1ヶ月程度(1回10分〜15分程度の治療です)
■おすすめの患者さん
歯ぐきが黒ずんでいる
差し歯を入れた部分が黒ずんで変色している
■治療のポイント
一週間おきに5〜6回施術します。(個人差あり)局所麻酔で無痛で行います
 
     
 
歯ぐきのホワイトニングの治療紹介
 
 
 
 
     
Copyright 2006 Sawamura Dental Clinic. All rights reserved.