
|
 |
| |
セラミッククラウン |
|
| |
|
|
| |
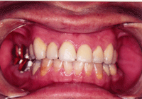
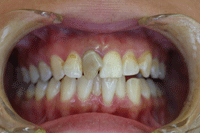
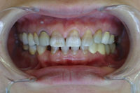
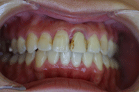
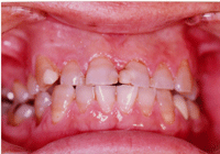
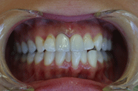
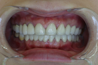
その名の通り、歯にクラウン(王冠)を被せることからクラウンと呼びます。セラミッククラウンはより天然歯の色に近い歯の色を再現することが出来ます。
歯の全体を約 1〜1.5mmほど削り、その上にセラミックのかぶせもの(クラウン)をかぶせる方法です。 |
|
|
| |
|
|
| |
■ セラミッククラウンのメリットとデメリット |
|
 |
 |
| |
| ■メリット |
| ・ |
治療後の変色もなく歯の色や白さを自由に変えることができる |
| ・ |
虫歯などにより失われた部分が大きい場合でも行える |
| ・ |
ラミネートベニアによる治療法に比べ歯の形も大きく変えることができるので、ある程度までは歯並びやかみ合わせも整えることができることです |
|
| ■デメリット |
| ・ |
歯を削る量が多く、神経のある歯の場合には知覚過敏の症状が出る可能性がある |
| ・ |
場合によっては神経を取らなければならないことがあります |
|
|
|
|
|
| |
|
|
| |
■ セラミッククラウンの治療紹介 |
 |
| |
|
|
|
|
| |
|
|
|
|